
Ультразвуковое исследование (УЗИ) малого таза — это неинвазивный способ получить «живое» изображение органов репродуктивной системы женщины с помощью звуковых волн высоких частот. Метод безопасен, безболезнен и стал базовым в гинекологической практике благодаря высокой информативности и доступности.
Как выполняют исследование
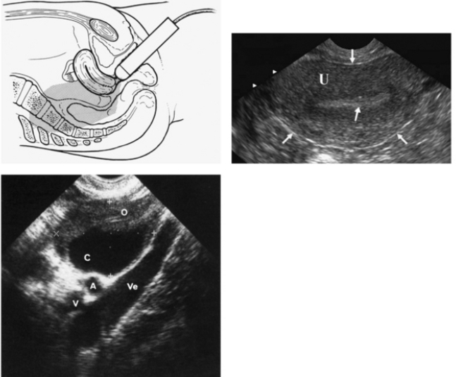
Существуют два основных подхода. Трансабдоминальный датчик скользит по передней брюшной стенке и даёт обзорную картину; для чёткости пациентке предлагают наполнить мочевой пузырь. Трансвагинальный датчик вводят во влагалище на небольшую глубину: пустой пузырь и близость зонда к органам обеспечивают более детальную визуализацию матки, эндометрия и яичников. Оба варианта могут дополняться допплеровским режимом, позволяющим оценивать кровоток.
Что именно видно на экране
На УЗИ врач определяет размеры, форму и контуры матки, толщину и структуру эндометрия, положение и эхогенность яичников, наличие доминантного фолликула или жёлтого тела, а также возможные кисты, миомы, полипы, очаги эндометриоза и свободную жидкость в полости таза. При необходимости измеряется скорость кровотока, что помогает отличить доброкачественные процессы от злокачественных. Специалистам и практикующим врачам рекомендуем онлайн тесты по УЗИ.

Когда врач направляет на УЗ-исследование
Чаще всего поводом становятся боли внизу живота, нарушения цикла, необычно обильные или межменструальные кровотечения. Исследование назначают при подозрении на кисты яичников, миому матки, воспалительные заболевания, эндометриоз, а также при бесплодии — для оценки овуляции и состояния эндометрия. В ранние сроки беременности УЗИ подтверждает факт имплантации и исключает внематочную локализацию плодного яйца.
Роль в мониторинге и лечении
Метод помогает контролировать рост миомы или кист во времени, наблюдать за развитием беременности, проверять положение внутриматочной спирали, отслеживать фолликулогенез при стимуляции овуляции и точно направлять биопсийные иглы или пункционные иглы при малоинвазивных процедурах.
Подготовка и ощущения пациентки
Для трансабдоминального сканирования достаточно выпить около литра воды за час до исследования; трансвагинальный вариант требует опорожнённого мочевого пузыря и элементарной интимной гигиены. Врач наденет на датчик одноразовый чехол с гелем: большинство пациенток отмечают лишь лёгкий дискомфорт, сравнимый с обычным гинекологическим осмотром.

Безопасно ли делать УЗИ часто?
Ультразвук не использует ионизирующее излучение и не нагревает ткани до вредных температур; многочисленные исследования не выявили отрицательного влияния на репродуктивную функцию. Поэтому процедуру допускается повторять столько раз, сколько требует клиническая ситуация.
УЗИ малого таза даёт врачу подробную «карту» состояния женской репродуктивной системы, помогает своевременно обнаружить патологии и контролировать ход лечения или беременности. Планово выполняя исследование по рекомендациям гинеколога, женщина получает важную информацию о своём здоровье, оставаясь при этом в полной безопасности и без боли.
